Vector Labs代理,歡迎訪問Vector Labs官網或者咨詢我們獲取相關Vector Labs產品信息以及報價。
Vector Labs 公司是世界著名的生物學檢測試劑公司,七十年代其在全球首推的生物素-親和素系統引領了生物學檢測方法的重大革命,該系統被普遍視為目前最靈敏、最可靠與最有效的染色系統,并被廣泛應用于免疫組織化學、免疫電鏡、原位雜交與凝集素化學中。該系統仍在不斷地發展,以滿足廣大研究人員的各種不同要求。Vector 公司還是世界上凝集素產品的主要供應商,并提供大量的新產品,如酶底物、神經元示蹤劑及蛋白質、糖類與核酸的標記、分離與檢測試劑。
Vector? SG Substrate Kit, Peroxidase (HRP)
Description
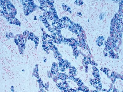
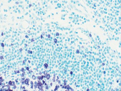
The?Vector?SG?HRP substrate produces a blue-gray reaction product that can be used as a single label or as a second color for multiple antigen labeling.
Features:
- Greater sensitivity than conventional substrates
- Consistent and reliable
- Ideal for IHC/ICC/ISH and blots
- Permanent mounting
- No wait times for mixing and dissolving powders or tablets
Specifications
| Unit Size | 1 kit |
|---|---|
| Applications | Immunohistochemistry / Immunocytochemistry, In situ hybridization, Blotting Applications, Elispot |
| Detection Enzyme(s) | Peroxidase |
| Substrate Reaction Product | Precipitating Reaction Product |
| Chromogen Color | Blue-Gray |
| Microscopy | Brightfield, Darkfield, Electron, Spectral Imaging |
| Additional Substrate Properties | Contrast with Tissue Pigments, Multiple Labeling |
| Mounting | Aqueous (Hardening), Non-Aqueous (Permanent) |
Kit Components
Kit Contents:
- 5 ml SG Reagent 1
- 7.2 ml SG Reagent 2
Documents
- Enzyme Substrates Brochure
- Enzyme Substrate Combinations Chart
- Counterstain/Substrate Compatibility Chart
- User Guide
- Safety Data Sheet
- Download CoA
- Datasheet
Related Products
BLOXALL? Endogenous Blocking Solution, Peroxidase and Alkaline Phosphatase Catalog #: SP-6000-100
Nuclear Fast Red Counterstain Catalog #: H-3403-500
Methyl Green Counterstain Catalog #: H-3402-500
VectaMount? Permanent Mounting Medium Catalog #: H-5000-60
Citations
Technical Information
Sections stained with the substrate also can be viewed by darkfield or electron microscopy. Vector SG and ImmPACT SG substrates can be used for both manual and automated staining methods. Stained sections can be dehydrated, cleared, and permanently mounted.
Vector SG Substrate Kit contains stock solutions in convenient dropper bottles. The kit provides all of the necessary reagents to prepare about 300 ml of working solution.


