Vector Labs代理,歡迎訪問Vector Labs官網或者咨詢我們獲取相關Vector Labs產品信息以及報價。
Vector Labs 公司是世界著名的生物學檢測試劑公司,七十年代其在全球首推的生物素-親和素系統引領了生物學檢測方法的重大革命,該系統被普遍視為目前最靈敏、最可靠與最有效的染色系統,并被廣泛應用于免疫組織化學、免疫電鏡、原位雜交與凝集素化學中。該系統仍在不斷地發展,以滿足廣大研究人員的各種不同要求。Vector 公司還是世界上凝集素產品的主要供應商,并提供大量的新產品,如酶底物、神經元示蹤劑及蛋白質、糖類與核酸的標記、分離與檢測試劑。
VECTASTAIN? Elite ABC-HRP Kit, Peroxidase, R.T.U. (Universal)
Description
The VECTASTAIN Elite ABC system is the most sensitive avidin/biotin-based peroxidase system and?is approximately 5 times more sensitive than the original VECTASTAIN ABC Kit. Our Universal Biotinylated Anti-Mouse/Rabbit IgG secondary antibody included in this kit is a cocktail of biotinylated anti-mouse IgG and anti-rabbit IgG, designed for use with both rabbit and mouse primary antibodies.
Features:
- Advanced avidin/biotin technology: The Elite ABC complex is smaller, very uniform, and highly active, allowing more accessibility for binding to a biotinylated target
- Cost effective: Higher sensitivity leads to lower cost per slide
- Available in ready-to-use formats: Prediluted, stabilized working solutions of Elite ABC Kit reagents provide the same high sensitivity and low background as the traditional VECTASTAIN Elite ABC Kit reagents.
Contains sufficient reagent to stain approximately 250-500 sections.
Note:?This antibody should not be used to stain tissues from rodents or rabbits due to its reactivity with IgG present in the tissues of these species.
?
?
Specifications
| Unit Size | 1 kit |
|---|---|
| Applications | Immunohistochemistry / Immunocytochemistry, In situ hybridization, Blotting Applications, Elispot, ELISAs |
| Technology | ABC Elite (Avidin/Biotin) Systems |
| Detection Enzyme(s) | Peroxidase |
| Target Species | Universal (Mouse/Rabbit) |
| Format | Ready-to-Use |
Kit Components
Kit Contents:
- 50 ml ready-to-use stabilized Elite ABC reagent
- 50 ml ready-to-use universal, biotinylated anti-mouse/rabbit IgG
- 50 ml 2.5% normal horse serum
Documents
- Avidin/Biotin Troubleshooting Guide
- User Guide
- Safety Data Sheet
- Download CoA
- Datasheet
Product FAQs
How do I choose which VECTASTAIN ABC Kit to use?
Related Products
Avidin/Biotin Blocking Kit Catalog #: SP-2001
Horse Anti-Mouse/Rabbit IgG Antibody (H+L) (Universal), Biotinylated Catalog #: BA-1400-2.1
VECTASTAIN? Elite ABC-HRP Reagent, Peroxidase, R.T.U. Catalog #: PK-7100
Normal Horse Serum Blocking Solution, 2.5% Catalog #: S-2012-50
ImmPACT? DAB Substrate, Peroxidase (HRP) Catalog #: SK-4105
ImmPACT? NovaRED? Substrate, Peroxidase (HRP) Catalog #: SK-4805
ImmPACT? VIP Substrate, Peroxidase (HRP) Catalog #: SK-4605
ImmPACT? SG Substrate, Peroxidase (HRP) Catalog #: SK-4705
Vector? VIP Substrate Kit, Peroxidase (HRP) Catalog #: SK-4600
Vector? SG Substrate Kit, Peroxidase (HRP) Catalog #: SK-4700
Vector? NovaRED? Substrate Kit, Peroxidase (HRP) Catalog #: SK-4800
DAB Substrate Kit, Peroxidase (HRP), with Nickel, (3,3'-diaminobenzidine) Catalog #: SK-4100
TMB Substrate Kit, Peroxidase (HRP), (3,3', 5,5'-tetramethylbenzidine) Catalog #: SK-4400
ImmPACT? AEC Substrate, Peroxidase (HRP) Catalog #: SK-4205
AEC Substrate Kit, Peroxidase (HRP), (3-amino-9-ethylcarbazole) Catalog #: SK-4200
Citations
Technical Information
With more than 50,000 citations to its credit, the VECTASTAIN?ABC kit remains widely popular. Based on the versatile avidin-biotin complex interaction, the system is modular, and along with our selection of secondary antibodies, can accommodate a wide array of primary antibody and tissue species. Our ABC kits are economical and continue to be a staple product in any immunohistochemistry (IHC) and immunocytochemistry (ICC) laboratory.
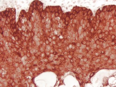
Peroxidase substrates produce sharp, dense precipitates with crisp localization. These characteristics, in conjunction with the high sensitivity and low background of the VECTASTAIN?ABC systems, make the peroxidase enzyme a preferred choice in many applications. (eg. In neural tissue, the peroxidase system is often preferred because it gives more consistent labeling of both cell bodies and processes.)
?
?
The Avidin Biotin Complex Method
The VECTASTAIN?ABC systems are extremely sensitive due to the form and number of active enzyme molecules associated with the preformed Avidin/Biotinylated enzyme Complex. This ABC complex takes advantage of two important properties of avidin: 1) an extraordinarily high affinity for biotin (over one million times higher than antibody for most antigens), and 2) four biotin-binding sites. These properties allow macromolecular complexes (ABCs) to be formed by mixing Avidin DH (Reagent A) with its paired biotinylated enzyme (Reagent B) prior to use. The ABC reagent, once formed, remains stable for many hours after formation and can be used for several days after preparation.
The VECTASTAIN?ABC Reagent can be used to detect any molecule that is biotinylated. This property gives the avidin-biotin complex (ABC) method great versatility in the types of targets that can be detected as well as the types of applications in which it can be employed. Biotinylated primary antibodies, secondaries, lectins, neuronal tracers, nucleic acids, and ligands can be effectively visualized in applications such as:
- Tissue staining
- Multiple labeling (Multiplex IHC)
- Western blotting
- Southern and northern blotting
- In situ hybridization detection (ISH)
- Enzyme immunoassays (ELISA)
- Neuronal tracing
All applications benefit from the high sensitivity, low background, reproducibility, and economy of the VECTASTAIN?ABC system.

?
Choosing a VECTASTAIN?ABC Kit
1) Choose an enzyme system:
The VECTASTAIN?ABC Kits are available with a choice of two different enzyme systems
- Peroxidase (ABC, Elite?ABC, RTU or Kits)
- Alkaline Phosphatase (ABC-AP)
2) Choose the biotinylated secondary antibody:
To detect a biotinylated target, you will need only the ABC Reagent contained in the Standard Kit, followed by an appropriate substrate.
To detect an unlabeled primary antibody, you will need a biotinylated secondary antibody that binds to the primary antibody species chosen, the ABC Reagent, and an appropriate substrate. For example, to detect a primary antibody made in rabbit, the appropriate choice is a VECTASTAIN?ABC Kit designated “Rabbit IgG”.
For additional versatility and convenience, Vector Laboratories offers secondary antibody products that recognize more than one species of primary antibody. Our Universal Biotinylated Anti-Mouse/Rabbit IgG secondary antibody (Cat. No. BA-1400) is a cocktail of biotinylated anti-mouse IgG and anti-rabbit IgG, designed for use with both rabbit and mouse primary antibodies. This antibody should not be used to stain tissues from rodents or rabbits due to its reactivity with IgG present in the tissues of these species. The Universal Pan-Specific Anti- Mouse/Rabbit/Goat secondary antibody (Cat. No. BA-1300) (which is included in our VECTASTAIN?Universal Kits) is a cocktail of biotinylated anti-mouse IgG, anti-rabbit IgG, and anti-goat IgG that recognizes mouse, rabbit, and goat primary antibodies. This secondary antibody should not be used to stain rat, mouse, or other rodent, rabbit, goat, bovine, or sheep tissue due to potential reactivity with endogenous IgG.
3) Choose a convenient format:
Finally, several kits are available in prediluted, stabilized formats for convenience and ease of use. See kits designated R.T.U. or Ready-To-Use.
Consider Species Cross-Reactivity
When choosing the optimal detection system for your application, it is important to consider not only the species of the primary antibody but also the species of the tissue under examination. If the species of the primary antibody and the species of the tissue are closely related (e.g. rat and mouse), the biotinylated secondary antibody may cross react with endogenous IgG in the tissue section leading to background staining. The following three options minimize background staining in these instances:
- Biotinylate the primary antibody and detect with a Standard VECTASTAIN?Elite?ABC Kit, PK-6100 (only includes the avidin-biotin complex, or ABC reagent).
- Use a biotinylated secondary antibody specifically adsorbed to remove cross-reacting antibodies of closely-related species (e.g. biotinylated anti-mouse IgG, rat adsorbed, Cat. No. BA-2001).
- Use the M.O.M.? Immunodetection System for applications of mouse primary antibodies on mouse tissue.
Substrates
After choosing the VECTASTAIN?ABC Kit for your application, select a substrate that matches the enzyme system of the kit.