Vector Labs代理,歡迎訪問Vector Labs官網或者咨詢我們獲取相關Vector Labs產品信息以及報價。
Vector Labs 公司是世界著名的生物學檢測試劑公司,七十年代其在全球首推的生物素-親和素系統引領了生物學檢測方法的重大革命,該系統被普遍視為目前最靈敏、最可靠與最有效的染色系統,并被廣泛應用于免疫組織化學、免疫電鏡、原位雜交與凝集素化學中。該系統仍在不斷地發展,以滿足廣大研究人員的各種不同要求。Vector 公司還是世界上凝集素產品的主要供應商,并提供大量的新產品,如酶底物、神經元示蹤劑及蛋白質、糖類與核酸的標記、分離與檢測試劑。
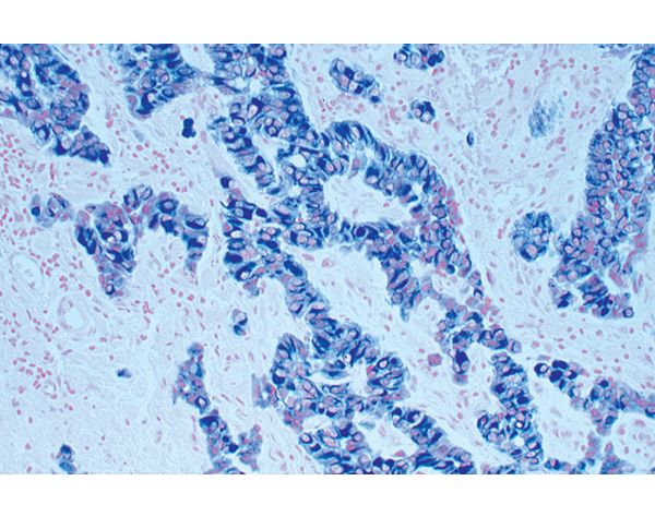
Nuclear Fast Red Counterstain
Description
Nuclei stained with Vector??Nuclear Fast Red (H-3403) have a pink appearance. Vector Nuclear Fast Red is an excellent choice in multiple labeling applications when hematoxylin obscures the substrate colors.
Features:
- Good contrast with a variety of substrates
- Rapid staining procedure requiring only one step
- Suitable for use with non-aqueous mountants
?
Specifications
| Unit Size | 500 ml |
|---|---|
| Applications | Immunohistochemistry / Immunocytochemistry, In situ hybridization |
| Format | Ready-to-Use |
Documents
- User Guide
- Counterstain/Substrate Compatibility Chart
- Safety Data Sheet
- Download CoA
- Datasheet
Related Products
Methyl Green Counterstain Catalog #: H-3402-500
Hematoxylin QS Counterstain Catalog #: H-3404-100
VectaMount? Permanent Mounting Medium Catalog #: H-5000-60
Hematoxylin Counterstain Catalog #: H-3401-500
Citations
Technical Information
This table is designed as a reference to determine the optimal counterstain/substrate combination for your application.
