Vector Labs代理,歡迎訪問Vector Labs官網或者咨詢我們獲取相關Vector Labs產品信息以及報價。
Vector Labs 公司是世界著名的生物學檢測試劑公司,七十年代其在全球首推的生物素-親和素系統引領了生物學檢測方法的重大革命,該系統被普遍視為目前最靈敏、最可靠與最有效的染色系統,并被廣泛應用于免疫組織化學、免疫電鏡、原位雜交與凝集素化學中。該系統仍在不斷地發展,以滿足廣大研究人員的各種不同要求。Vector 公司還是世界上凝集素產品的主要供應商,并提供大量的新產品,如酶底物、神經元示蹤劑及蛋白質、糖類與核酸的標記、分離與檢測試劑。
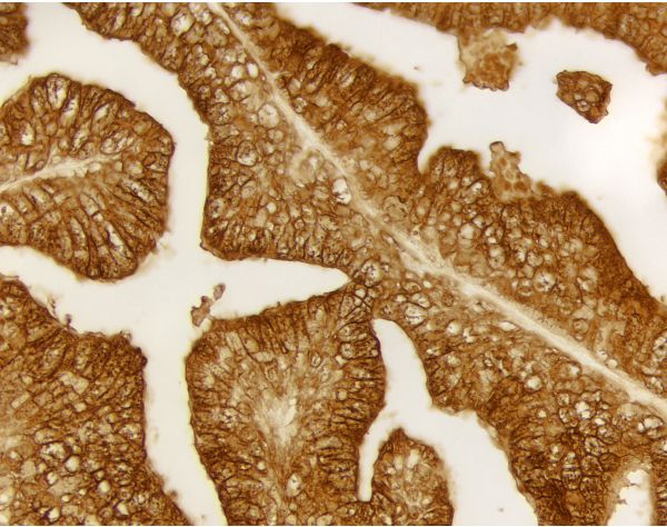
ImmPACT? DAB Substrate, Peroxidase (HRP)
Description
The?ImmPACT DAB Peroxidase (HRP) Substrate reacts with HRP?to yield an insoluble brown-colored product. It?is?2-4 fold more?sensitivity than the?original?DAB?substrate kit.
Features:
- Optimized for IHC/ICC/ISH and blots
- Heat Stable
- Permanent mounting
- Ideal for single and multiple labeling
- Working solutions stable for up to 14 days at 4 °C
- Supplied as 120 ml of diluent and concentrated DAB stock solution
?
Specifications
| Unit Size | 120 ml |
|---|---|
| Applications | Immunohistochemistry / Immunocytochemistry, In situ hybridization, Blotting Applications, Elispot |
| Detection Enzyme(s) | Peroxidase |
| Substrate Reaction Product | Precipitating Reaction Product |
| Chromogen Color | Brown |
| Microscopy | Brightfield, Darkfield, Electron, Spectral Imaging |
| Additional Substrate Properties | Heat Resistant, Multiple Labeling |
| Mounting | Aqueous (Hardening), Aqueous (Non-Hardening), Non-Aqueous (Permanent) |
Kit Components
Kit Contents:
- 3.6 ml ImmPACT DAB Reagent 1
- 120 ml ImmPACT DAB Diluent
Documents
- Enzyme Substrates Brochure
- Enzyme Substrate Combinations Chart
- Counterstain/Substrate Compatibility Chart
- User Guide
- Safety Data Sheet
- Download CoA
- Datasheet
Related Products
BLOXALL? Endogenous Blocking Solution, Peroxidase and Alkaline Phosphatase Catalog #: SP-6000-100
Hematoxylin Counterstain Catalog #: H-3401-500
Hematoxylin QS Counterstain Catalog #: H-3404-100
Nuclear Fast Red Counterstain Catalog #: H-3403-500
Methyl Green Counterstain Catalog #: H-3402-500
VectaMount? Permanent Mounting Medium Catalog #: H-5000-60
Citations
Technical Information


