Vector Lab代理Alcian Blue (pH 2.5) Stain Kit

Vector Labs代理,歡迎訪問Vector Labs官網或者咨詢我們獲取相關Vector Labs產品信息以及報價。
Vector Labs 公司是世界著名的生物學檢測試劑公司,七十年代其在全球首推的生物素-親和素系統引領了生物學檢測方法的重大革命,該系統被普遍視為目前最靈敏、最可靠與最有效的染色系統,并被廣泛應用于免疫組織化學、免疫電鏡、原位雜交與凝集素化學中。該系統仍在不斷地發展,以滿足廣大研究人員的各種不同要求。Vector 公司還是世界上凝集素產品的主要供應商,并提供大量的新產品,如酶底物、神經元示蹤劑及蛋白質、糖類與核酸的標記、分離與檢測試劑。

Alcian Blue (pH 2.5) Stain Kit

H-3501

SKU Unit Size Price Qty
H-3501 1 Kit

To request a quote for products:

  1. Click “Contact Us” in the header bar above;
  2. Click “Customer Service”;
  3. Complete the form and provide the following information in the “Comments” section: note you would like a quote, item number (SKU) and quantity;
  4. Click “Submit”.

Alcian Blue (pH 2.5) Stain Kit

Description
Specifications
Kit Components
Documents
Related Products
Citations
Technical Information

Description

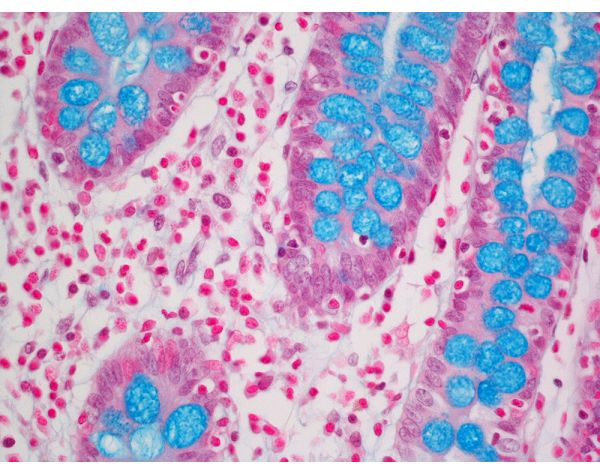
The Alcian Blue (pH 2.5) Stain Kit is intended for use in the histological visualization of sulfated and carboxylated acid mucopolysaccharides and sulfated and carboxylated sialomucins (glycoproteins).

  • Acidic Sulfated Mucosubstances: Blue
  • Hyaluronic Acid: Blue
  • Sialomucins: Blue
  • Nuclei: Red

Control Tissue: Small Intestine, Appendix, Colon

Specifications

More Information
Unit Size 1 Kit
Applications Histology
Microscopy Brightfield
Cellular Stain Nucleus, Glycoproteins
Color Blue, Red
Format Ready-to-Use

Kit Components

Components:

  • Alcian Blue Solution (pH 2.5), 30 ml
  • Nuclear Fast Red (Enhanced), 30 ml
  • Acetic Acid Solution (3%), 60 ml (30 ml x 2)

Documents

  • User Guide
  • Safety Data Sheet
  • Download CoA
  • Datasheet

Related Products

Alcian Blue (pH 2.5) Stain Kit

Nuclear Fast Red Counterstain Catalog #: H-3403-500

Alcian Blue (pH 2.5) Stain Kit

Hematoxylin QS Counterstain Catalog #: H-3404-100

Alcian Blue (pH 2.5) Stain Kit

VectaMount? Permanent Mounting Medium Catalog #: H-5000-60

Alcian Blue (pH 2.5) Stain Kit

ImmPrint™ Permanent Marking Pen Catalog #: H-6100

Alcian Blue (pH 2.5) Stain Kit

Hematoxylin and Eosin Stain Kit Catalog #: H-3502

Alcian Blue (pH 2.5) Stain Kit

Methyl Green Counterstain Catalog #: H-3402-500

Alcian Blue (pH 2.5) Stain Kit

Hematoxylin Counterstain Catalog #: H-3401-500

Citations

Alcian Blue (pH 2.5) Stain Kit Powered by Bioz See more details on Bioz

Technical Information

Components:

  • Alcian Blue Solution (pH 2.5), 30 ml
  • Nuclear Fast Red (Enhanced), 30 ml
  • Acetic Acid Solution (3%), ?60 ml (30 ml x 2)

Notes:

a) Intensity should be optimized for each tissue type, fixative used, and presentation (frozen or paraffin-embedded)?

b) Use standard laboratory precautions to avoid contact with skin and eyes.?

c) Harmful if swallowed. Do not take internally.

d) These reagents are for research use only.

e) Follow all federal, state and local regulations for disposal.?

Home Counterstains and Special Stains Alcian Blue (pH 2.5) Stain Kit