Vector Labs代理,歡迎訪問Vector Labs官網或者咨詢我們獲取相關Vector Labs產品信息以及報價。
Vector Labs 公司是世界著名的生物學檢測試劑公司,七十年代其在全球首推的生物素-親和素系統引領了生物學檢測方法的重大革命,該系統被普遍視為目前最靈敏、最可靠與最有效的染色系統,并被廣泛應用于免疫組織化學、免疫電鏡、原位雜交與凝集素化學中。該系統仍在不斷地發展,以滿足廣大研究人員的各種不同要求。Vector 公司還是世界上凝集素產品的主要供應商,并提供大量的新產品,如酶底物、神經元示蹤劑及蛋白質、糖類與核酸的標記、分離與檢測試劑。
ImmPRESS? HRP Universal Antibody (Horse Anti-Mouse/Rabbit IgG) Polymer Detection Kit, Peroxidase
Description
The ImmPRESS polymerized reporter enzyme staining system uses novel conjugation and micropolymer chemistries to create a highly sensitive, ready-to-use, one-step detection system. This unique micropolymer of highly active enzyme?is attached to our affinity purified secondary antibodies, producing reagents with outstanding sensitivity and low background.
Features:
- Enhanced accessibility to nuclear and membrane antigens
- Ready-to-use in a convenient dropper bottle
- Shorter assay time
- Simplified multiple labeling
- Designed for use with both rabbit and mouse primary antibodies.?
Note:?This antibody should not be used to stain tissues from rodents or rabbits due to its reactivity with IgG present in the tissues of these species.
Kit Contents:
- ImmPRESS Universal Antibody (anti-mouse IgG/anti-rabbit IgG, Peroxidase) Polymer Reagent (made in horse, ready-to-use)
- 2.5% Normal Horse Serum for blocking (ready-to-use)
The ImmPRESS (15 ml) Kit will stain approximately 75-150 sections and the ImmPRESS (50 ml) Kit will stain approximately 250-500 sections.
Specifications
| Unit Size | 15 ml, 50 ml |
|---|---|
| Applications | Immunohistochemistry / Immunocytochemistry, In situ hybridization, ELISAs |
| Technology | Micropolymer Reagents |
| Detection Enzyme(s) | Peroxidase |
| Conjugate | Micropolymer HRP |
| Target Species | Universal (Mouse/Rabbit) |
| Format | Ready-to-Use |
Documents
- ImmPRESS Polymer & Automated Staining App. Note
- ImmPRESS Troubleshooting Guide
- User Guide
- Safety Data Sheet
- Download CoA
- Datasheet
Product FAQs
What are the advantages of using ImmPRESS? Excel kits compared with one-step peroxidase polymer detection systems?
The ImmPRESS Excel kits are a two-step peroxidase polymer based detection system that include an unconjugated amplifier antibody. This intermediate amplifier antibody increases sensitivity of the assay at least three- to four-fold over that of a one-step polymer based system, by facilitating the introduction of more peroxidase enzyme at the site of specific antigen localization. This increase in sensitivity would be advantageous in instances of weak antigen expression, and to further dilute out an expensive primary antibody. The ImmPRESS Excel Amplifier kits are presented as a complete kit format that include enzyme quench, blocking serum and ImmPACT? DAB EqV peroxidase substrate, in addition to the amplifier antibody and defined ImmPRESS polymer secondary antibody. However, as the two published references below indicate, this format is still modular and allows for the substitution of different detection reagents. These references describe using ImmPACT NovaRED™ peroxidase substrate in combination with the ImmPRESS Excel Amplifier kits. Oncogenesis (2017) 6, e293; doi:10.1038/oncsis.2016.82 Tan, E.M.S., et al (2017) Front. Med. 4:162 (doi: 10.3389/fmed.2017.00162)
Our research lab has an open automated staining platform. Do you know if the ImmPRESS reagents can be applied to an automated system, and if so, do you have any guidelines or procedures?
Yes, we conducted studies on the compatibility of the ImmPRESS HRP polymer reagents with three commercially available autostainers (Agilent/Dako Autostainer Plus, Leica Bond Rx, and Ventana Discovery Ultra). We showed that our reagents are suitable for IHC detection on each of these platforms. The ImmPRESS polymer reagents and enzyme substrates generated equivalent IHC staining results compared to reagents from the instrument manufacturer. Some modifications in the protocol were performed to optimize the signal-to-noise ratio, such as a shorter incubation time for the ImmPRESS polymer and increase in the number of buffer washes following polymer incubation. Please see the following application note for more details about each automated platform:https://info.vectorlabs.com/l/360741/2019-01-11/2hv9mw
Related Products
ImmPACT? DAB Substrate, Peroxidase (HRP) Catalog #: SK-4105
ImmPACT? NovaRED? Substrate, Peroxidase (HRP) Catalog #: SK-4805
ImmPACT? VIP Substrate, Peroxidase (HRP) Catalog #: SK-4605
ImmPACT? SG Substrate, Peroxidase (HRP) Catalog #: SK-4705
ImmPACT? AEC Substrate, Peroxidase (HRP) Catalog #: SK-4205
ImmPACT? AMEC Red Substrate, Peroxidase (HRP) Catalog #: SK-4285
Vector? VIP Substrate Kit, Peroxidase (HRP) Catalog #: SK-4600
Vector? SG Substrate Kit, Peroxidase (HRP) Catalog #: SK-4700
Vector? NovaRED? Substrate Kit, Peroxidase (HRP) Catalog #: SK-4800
DAB Substrate Kit, Peroxidase (HRP), with Nickel, (3,3'-diaminobenzidine) Catalog #: SK-4100
TMB Substrate Kit, Peroxidase (HRP), (3,3', 5,5'-tetramethylbenzidine) Catalog #: SK-4400
AEC Substrate Kit, Peroxidase (HRP), (3-amino-9-ethylcarbazole) Catalog #: SK-4200
Normal Horse Serum Blocking Solution, 2.5% Catalog #: S-2012-50
Citations
Technical Information
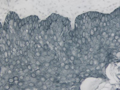
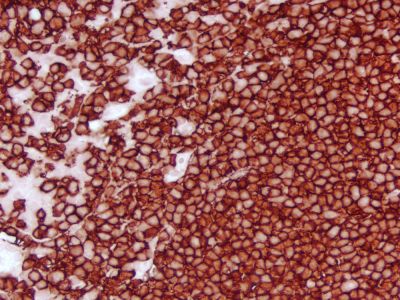
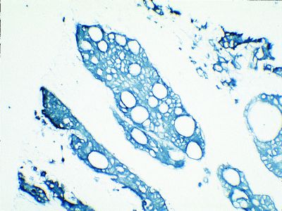
The peroxidase micropolymers of the ImmPRESS HRP polymer reagent limit steric interference and provide enhanced accessibility to the target, avoiding the disadvantages of other polymer systems that use large dextrans or other macromolecules as backbones. The result is crisp, strong staining of antibody targets, especially nuclear and membrane antigens (such as Ki67, estrogen receptor, bcl-2, CD3, CD8 and CD10) and greater sensitivity than other polymer systems.
Staining Procedure
The staining procedure is simple as shown in the diagram below. Following a blocking step with the diluted normal horse serum, sections are incubated with primary antibody. After a brief wash, the appropriate ImmPRESS Reagent is added to the sections and incubated for 30 minutes. Sections are again rinsed and the slides are developed with the peroxidase substrate of choice.

When choosing the optimal detection system for your application, it is important to consider not only the species of the primary antibody but also the species of the tissue. If the species of the primary antibody and the species of the tissue are closely related (e.g. rat and mouse), the secondary antibody may bind to endogenous IgG in the tissue section leading to background. The following options minimize background staining in these instances:
- Use a secondary antibody specifically adsorbed to remove cross-reacting antibodies of closely-related species (e.g. ImmPRESS Anti-Mouse IgG, Rat Adsorbed).
- Use the M.O.M.? ImmPRESS Kit (Cat. No. MP-2400) for applications of mouse primary antibodies on mouse tissue.
?
Learn more about the ImmPRESS Polymer Detection Systems in double labeling.
Product review on Biocompare.com.